What is Spondylolisthesis?

There’s a good chance you’ve encountered this long, imposing word while attempting to read through your lumbar MRI report. These reports can be full of words that hold very little or no meaning to the average human. Today we will attempt to shed light on a common occurance in scoliosis, spondylolisthesis, or for short, listhesis.

Defined, “spondlyo” means vertebra and “listhesis” means slippage. It’s literal meaning is vertebra slippage. This sounds ominous, even scary. How does a vertebra slip?

In the general spine orthopedics world, spondylolisthesis almost always refers to a forward or anterior slippage of the vertebra.

Anterior Listhesis

They frequently occur from sports (think gymnastics, volleyball, soccer), in people with congenital vertebral defects, and sometimes in people with very large bellies that put their low backs into a more pronounced back bend.

In the scoliosis world, spondylolisthesis can occur in any direction: forward, backward, sideways, and rotationally.

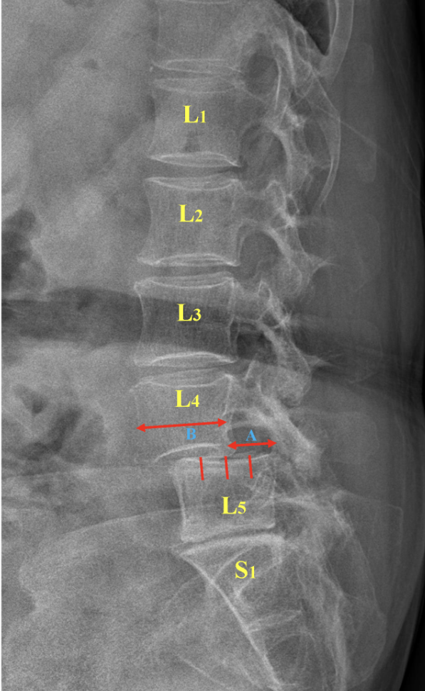
Backward (Retro) Listhesis

Listhesis occurs often with scoliosis, but not always. In children and adolescents, the presence of vertebral slippage is often congenital. In the adult scoliosis population, the listhesis is often due to degenerative changes over time.

Why does listhesis often occur in those with scoliosis?

A spine with scoliosis is bent to one side, as well as rotated to that side. As the spine travels away from it’s neutral axis, in all 3 planes of motion, the possibility of a vertebra becomes more likely.

What exactly does slipping mean? 

Slipping simply refers to a vertebra moving out of alignment with the vertebra above and/or below it. It does NOT mean slipping out into an abyss or some sort of black hole - It’s much less scary than it actually sounds.

Lateral Listhesis

Where does lithesis most commonly occur?

In the lumbar spine, and sometimes in the cervical spine. Why? Unlike the thoracic spine, which has bony support from the ribs, both the lumbar and cervical spine rely on muscles rather than bones to support the vertebrae.

How can we prevent listhesis from happening?

Our best weapons against listhesis are strengthening the core musculature, doing postural exercises, and practicing good postural habits. As we teach our spines how to elongate from a stable, symmetrical pelvis, and contract our deep corset-like core muscles, there is much less chance of vertebral slipping. Conversely, if we allow our bodies to be pulled in the direction of our scoliosis unchecked, slippage is much more possible.

What do we do if we already have listhesis?

Stabilize, stabilize, and stabilize some more. A comprehensive lumbar stabilization program is the ticket to healing a listhesis. In addition, avoiding extreme rotations, side bends, forward bends, and backward bends is equally important. We want that area of slippage to first form some scar tissue, and to eventually, over the long run, auto-fuse to the vertebra above and below. This end goal of auto-fusion cannot be understated: auto-fusion will provide the stability that we desperately need in the area of listhesis. If we continue to stretch and pull on that delicate area, it won’t have a chance to begin and sustain the auto-fusion process.

If you have been diagnosed with a spondylolisthesis, know that you are not alone, and that you can still lead an active, healthy, full life. Listhesis can and will heal, using a stabilization rehab approach. Getting familiar with your inner corset – the transverse abdominis muscle, as well as your obliques, your lumbar multifidi, and your glutes, will begin your journey to recovery. Throw in some scoliosis-specific physiotherapeutic exercise, like Schroth, and the magic happens.


Previous
Previous

Schroth Method for Kyphosis

Next
Next

Hacks for Schroth Physical Therapy at Home